
Ne visi zina, kas ir artroze, tāpēc cilvēki tiek sajaukti ārstēšanas metodēs un nesaprot patoloģijas diagnozes principus. Artroze ir smags distrofisks pārkāpums, kas provocē skrimšļa audu bojājumu intraartikulārā dobumā. Terapijas sarežģītība ir saistīta ar procesu neatgriezeniskumu, nevar sasniegt pilnīgu izārstēšanu mūsdienu medicīnas ietvaros, bet simptomu smagumu var samazināt un patoloģijas progresēšanu var palēnināties. Ar pienācīgu ārstēšanu cilvēks ilgu laiku turpina parasto dzīvesveidu.
Kas ir artroze?
Līdzīgi ir vienkāršāk, ka slimības artroze ir locītavu slimība, kas provocē kustības un sāpju amplitūdas ierobežošanu. Pirmajā bojājuma posmā nav izpausmes, ir neliela smagums un mazgāts. Pakāpeniski patoloģija progresē, to atvieglo ar vecumu saistītas izmaiņas ķermenī, stress, ievainojumi utt. Saskaņā ar statistiku aptuveni 80% iedzīvotāju, kas vecāki par 60 gadiem no artrozes.
Locītavas artroze attīstās ilgu laiku, sākotnēji ietekmē tikai hialīna skrimšļus, pēc tam izplatās kaulos, ietver sinoviālo apvalku, muskuļus un visu locītavu kapsulu. Artrozes pirmajā vai agrīnajā stadijā bojājums ir nedaudz izpausts: nelielas sāpes pēc smaga darba, pietūkuma, ādas apsārtuma. Tā kā ignorēja neērtās sajūtas, locītava ir deformēta, iekaisusi, rada stipras sāpes, viņu maksimums nokrīt no rīta. Slimību raksturo sāpju pazušana pēc locītavas attīstības. Ja nav ārstēts, cilvēks pilnībā zaudē locītavas mobilitāti.

Ir primārā un sekundārā artrozes forma. Pseido-artroze (neoartroze) ir arī atšķirīga- ne mazums cilvēku nezina, kas tā ir, jo tā veidojas retāk nekā citas šķirnes. Neoartroze ir viltus locītava, tāpēc skrimšļa audi palielinās neparastā vietā, kur tika iegūti bojājumi. To ir grūti ārstēt, galvenokārt ķirurģiski.
Ir patoloģija reģeneratīvās funkcijas, imunitātes vai mehānisko bojājumu traucējumu dēļ. Dažādu skrimšļa cēloņu dēļ tas kļūst plānāks. Normālā stāvoklī skrimšļa audums saņem pietiekamu uzturu atveseļošanai, bet pēc pārmērīgas fiziskas slodzes vai metabolisma procesu pārkāpuma dēļ audumiem nav laika atjaunoties. Pirmajā posmā kopīgā mobilitāte paliek. Apsverot artrozi kā definīciju, to ir vērts sīkāk padziļināties patoloģijas attīstībā.
Artrozes attīstības mehānisms, tās veidi
Daudzas artrozes šķirnes attīstās saskaņā ar līdzīgu shēmu:
- Primārais bojājums ietekmē hialīna skrimšļus. Asinsrites traucējumu gadījumā notiek patoloģiskās jaudas pasliktināšanās. Tas ir pirmais solis vai iemesls, kas var rasties artroze.
- Hialīna pārklājuma patoloģijas. Skrimšļa retināšana noved pie tā patoloģisko audu - kaulu struktūru aizstāšanas.
- Anomāli izaugumi parādās skrimšļos - osteofītos.
- Skrimšļa un kaulu dabiskās anatomijas pārkāpums izraisa veselīgu skrimšļa zonu pārslodzi. Locītavu audu iznīcināšana bez ārstēšanas pastāvīgi progresē un izraisa invaliditāti.
Kad palielinās slimības pakāpe, patoloģiskie procesi joprojām tiek saasināti. Galu galā visi hialīnu skrimšļi tiek iznīcināti.
Pēdējā slimības pakāpe noved pie:
- iesaistīšanās kaulu patoloģiskajā procesā, zem un virs skrimšļa virsmām;
- locītavas apvalka kairinājums, ierobežojoša mobilitāte, kas noved pie 2 grādu invaliditātes;
- palielināts kapsulas blīvums;
- Samazināt plaisu locītavas spraugā, kas attēlā kļūst pamanāma. Pārkāpuma posmu nosaka diagnostikas tantgenologs. Pacients izjūt sarežģītību vai nespēju pilnībā iztaisnot un saliekt ekstremitāti;
- locītavas deformācija, skrimšļi iegūst neregulāru formu, provocējot izliekumu;
- Pacienta stāvokļa pasliktināšanās ar pilnīgu locītavas iznīcināšanu.
Artrozes posmi
Locītavu slimībai ir 3 attīstības posmi:

- 1 grāds. Morfoloģiskie traucējumi jau ir sākušies, bet tie vēl nav pamanāmi. Patoloģija galvenokārt ietekmē sinoviālā šķidruma stāvokli, kas sliktāk piegādā skrimšļa audus ar barības vielu sastāvdaļām, samazinot skrimšļa izturību. Lieka uz locītavām izraisa iekaisumu un sāpes.
- 2. posms. Piegādes deficīta dēļ tiek iznīcinātas nepieciešamās kasetnes, uz skrimšļa virsmas veidojas kaulu izaugumi. Sāpes iegūst izteiktāku raksturu, pastiprinoties pēc ilgas atpūtas, tiek izvadīts mazs fiziskais darbs. Sāpes pavada iekaisums. Muskuļi ir izstiepti, kas noved pie vājiem vai vidēji traucētām motoriskām funkcijām.
- 3 grādi. Bieži vien ir sāpes, locītavas izmaiņu dēļ ir grūti pārvietot ekstremitāti. Bojājumi ir plaši, kļūst pamanāmi kailajam izskatam. Apvienotās vietas deformācija notiek, skartā zona uzbriest un kļūst sarkana. Ekstremitāšu ass ir traucēta, kas noved pie kustības sarežģītības. Patoloģiskās izmaiņas provocē saites saīsināšanu. Parādās apakšgrupas un kontraktūras. Blakus esošie muskuļi ir saīsināti vai izstiepti, no kura tiek novājināta kontraktilās funkcijas.
Artrozes attīstības cēloņi un riska faktori
Šuvju artrozes cēloņi atšķiras atkarībā no patoloģijas formas. Elkoņa locītavas, potītes locītavas un plecu artrozes deformējošā artroze dažreiz attīstās bez manāmiem cēloņiem, ir iespējams tos noteikt ar ārstu, reimatoloģijas speciālistu. Ja pirms problēmas nebija redzamas patoloģijas, slimību sauc par primāro. Galvenokārt tiek diagnosticēta sekundārā pārkāpuma forma, tā var izraisīt dažādus stāvokļus.
Galvenie attīstības iemesli:
- Mehāniski bojājumi: dislokācijas, lūzumi, stiepšanās, meniska ievainojumi;
- vairāki endokrīnie traucējumi, kas saistīti ar nepareizu darbību imunitātes darbā;
- metabolisms patoloģijas;
- displāzija (locītavu audu iedzimtas anomālijas);
- cieta locītavu iekaisums;
- Patoloģijas, kas izraisa lielu locītavu mobilitāti un saites vājināšanos.
Pacienti ar artrozi visbiežāk saskārās ar slimību predisponējošu faktoru dēļ:
- ar vecumu saistītās izmaiņas;
- Viegls un palielināts ĶMI. Liela slodze uz locītavas rada ātru locītavu nodilumu;
- izdevīgu vielu trūkums;
- Pārmērīga locītavu slodze. Iemesls ir intensīva apmācība, sports, smags fiziskais darbs;
- sarežģīti darba apstākļi vai nepareiza pieeja sportam. Ja ir anamnēzē ģenētiska tendence uz bojājumiem, locītavu ievainojumiem vai līdzīgām slimībām, ir svarīgi ievērot īpašu apmācības programmu, izvairoties no traumatiskiem un sarežģītiem vingrinājumiem;
- Pēcoperācijas periods pēcoperācijas periodā vai pārraidītās sarežģītās operācijas, kas saistītas ar lielu daļu skarto audumu izgriešanu. Šādi stāvokļi negatīvi ietekmē skrimšļa gludumu un izturību, slodze uz tiem jāsamazina;
- Ģenētiskā tendence, artroze biežāk tiek diagnosticēta pacientiem, kuriem ir radinieki ar vienādu patoloģiju;
- Postmenopauzes posms, kas notiek sievietēm apmēram 50 gadus, ir saistīts ar izmaiņām endokrīnajā sistēmā;
- the destructive effect of toxins;
- poor environmental situation in the region of residence;
- frequent damage to the joint, sometimes microcracks do not appear for a long time;
- hipotermija;
- Pathology of the lumbar and cervical part of the spine.
Primary arthrosis

Primary arthrosis is formed independently, that is, without the influence of any internal or external causes. The defeat develops through the hyalin cartilage quite slowly. It is rarely diagnosed, it accounts for only 3-5% of all cases.
Secondary arthrosis
Secondary arthrosis is most often detected by an order of 95-96% of cases. They are provoked by any of the above pathologies.
Signs and symptoms of arthrosis
Slimības izpausmes atšķiras nedaudz atkarībā no lokalizācijas, biežāk zīmes tiek atspoguļotas uz ceļgaliem, plecu un gūžas locītavām, jo lielas slodzes dēļ.
Mostly complaints come down to:
- sāpes. They have low severity at the initial stage, with aggravation of the state of sensation intensify. Initially, the joints hurt only after waking up, after a light warm -up, sensations disappear. Laika gaitā sāpes naktī parādās, tās ievērojami traucē ilgstošas pastaigas, skriešanas utt. Pēdējā posmā sāpju sindroms visu laiku vajā cilvēku;
- limited amplitude of movements. The stiffness of actions indicates anatomical changes in the structure. At first it manifests itself in the morning, then daily movements are limited. Lai neprovocētu stāvokļa saasināšanos, darbam jābūt daudzveidīgam un vieglam, pretējā gadījumā pacients laika gaitā nevarēs atcelt un izspiest ekstremitāti. Over time, there is a risk of contracting, from which a person loses motor ability;
- Crown during movements - it belongs to the nonspecific manifestations of arthrosis. Slimību raksturo kraukšķīguma rašanās vienā locītavā (izņemot poliartrozi), ko papildina diskomforts, sāpes un ierobežotas darbības. The nature of the current is wave -like - at first it manifests itself weakly, gradually intensifies, but at 3 stages disappears;
- pietūkums ar apsārtumu. Tas ir lokalizēts netālu no slimās locītavas, tas norāda uz iekaisuma procesu un slimības progresēšanu. Ārsts saprot, ka tiek ietekmēts sinoviālais apvalks, tas provocē šķidruma uzkrāšanos un paaugstinātas sāpes;
ekstremitāšu deformācijas. Parādās novārtā atstātā slimības formā, norāda uz pilnīgu skrimšļa audu iznīcināšanu un osteofītu parādīšanos. Šajā stāvoklī palielinās spiediens uz locītavām virs un zemāk, no kuriem izliekums var ietekmēt visu ekstremitāti.
Ir svarīgi atcerēties, ka kaulu kaulu deformācija bieži tiek sajaukta ar kukurūzu. Simptoms ir slikti bīstams tikai no pirmā acu uzmetiena, bet noved pie nopietnām sekām.
Komplikācijas
Sākotnēji ārstēšanai izmanto konservatīvas terapijas metodes. Ja viņi ir neefektīvi vai pacients ignorēja ārsta ieteikumus, pastāv seku risks.
Iespējamās komplikācijas:
- Locītava ir pilnībā iznīcināta;
- Ekstremitāte ir imobilizēta, jebkuras kustības kļūst ārkārtīgi sarežģītas;
- starpskriemeļu trūces;
- invaliditāte;
- Spēcīga locītavas vai visas ekstremitātes deformācija.
Artrozes diagnoze
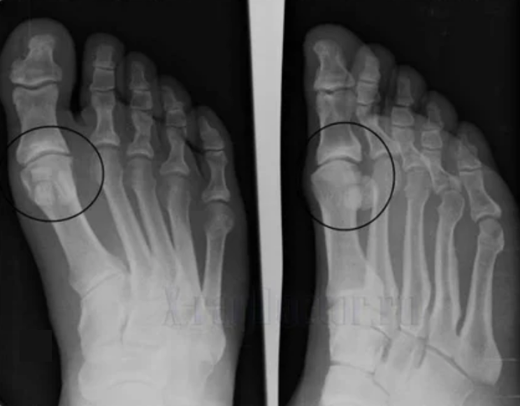
Lai veiktu diagnozi, reimatologi pēta pacienta sūdzības un izraksta x -ray pārbaudi. Visbiežāk radiogrāfija tiek izmantota 2 projekcijās. Ārsts aplūko distrofisku traucējumu klātbūtni hialīna skrimšļa un kaulu locītavās. Ja locītavu sprauga tiek samazināta, kauli tiek deformēti vai saplacināti, skrimšļa virsmā ir cistiski veidojumi, osteofīti ir acīmredzamas artrozes pazīmes. Pārbaudes laikā artroze norāda uz locītavas nestabilitāti: ir traucēta ekstremitāšu un subluksācijas ass.

Bieži vien X -Ray attēls nespēj sniegt pilnīgu informāciju par locītavas stāvokli. Rūpīgākai pētījumam tiek noteikta datortomogrāfija, tā ir efektīva kaulu pārbaudei. MRI biežāk izmanto mīksto audu izpētei.
Diagnozes laikā tiek praktizēta citu speciālistu iesaistīšana, kas palīdzēs noteikt patoloģijas galveno cēloni. Bieži izmanto hematologa, endokrinologa, ginekologa, ortopēdijas konsultācijas.
Mūsdienu ārstēšana
Ir simtiem artrozes terapijas veidu, bet tie visi nonāk pie vairākām metodēm:
- Narkotiku ārstēšana. Galvenais uzdevums ir apkarot simptomus un novērst turpmāku pārkāpuma attīstību. Visbiežāk pretsāpju līdzekļi tiek izmantoti, lai mazinātu sāpes, nesteroīdus pretiekaisuma līdzekļus, lai apkarotu iekaisumu, hormonālas zāles tiek izrakstītas stiprām sāpēm un akūta iekaisums. Katrs kurss ir balstīts uz hondroprotektoriem, kas aizsargā skrimšļa audumus no iznīcināšanas, to ražošanai izmanto dabiskas vielas;
- Fizioterapija. Pastiprina zāļu efektivitāti, cīņas ar iekaisumu, mazina simptomus, paātrina audu reģenerāciju. Visbiežāk tiek izmantota ultraskaņas, elektriska, magnētiska, lāzera terapija. Tas ietver arī dubļu vannas, lietojumus ar dabīgiem materiāliem, radona vannas;
- Medicīniskā fiziskā izglītība. Tas ir noderīgs gan kā profilakse, gan atvieglošana. Pēc pareiziem fiziskiem vingrinājumiem ir iespējams pilnībā novērst sāpes. Ir lietderīgi apmeklēt baseinu, iesaistīties jogā un bieži staigāt;
- Manuālā terapija, masāža palīdzēs slimības ārstēšanā, jo tās veicina locītavu izliekuma profilaksi. Pēc traumām manuālais terapeits spēj izlīdzināt locītavu, novēršot viņa fiksāciju nepareizā stāvoklī. Pēc masāžas tiek pastiprināta muskuļu tonuss, asinsrite tiek paātrināta;
- Pareizs uzturs. Veselīgs uzturs palīdzēs bagātināt ķermeni ar barības vielām skrimšļiem un samazināt ķermeņa svaru. Liela masa palielina locītavu nodilumu;
- Sanatoriju rezortēšanas ārstēšana stiprinās locītavas. Ārstēšanas ietvaros sanatorijas tiek piedāvātas balneoterapija, vingrinājumu terapija, fizioterapeitiskās procedūras utt.;
- Terapija, kas nav tradicionāla. Artrozes ārstēšanai tiek izmantotas būdiņas, naturo-, aph- un augu izcelsmes zāles, kā arī akupunktūra un dažādas tautas receptes;
- Ķirurģiskā iejaukšanās ir vienīgais veids, kā atgriezties pie parastās dzīves trešajā slimības stadijā. Endoprotētika ļauj pacienta skrimšļa aizstāšanu ar implantu. Vienīgais operācijas trūkums ir augstās izmaksas. Ar vienu procedūru pietiek ar 15-20 gadiem.
Profilaktiskie pasākumi
Tā, ka locītavas artroze vecumdienās neuztraucas, stāv:
- uzturēt veselīgu dzīvesveidu;
- novērst spēcīgas kravas;
- Ievērojiet diētu;
- izslēgt sliktos ieradumus;
- Katru dienu veikt vingrošanu;
- Sekojiet svaram.
Artroze ir bīstama slimība, kuru ir daudz vieglāk novērst nekā izārstēt. Savlaicīgi meklējot ārstu un ievērojot ārstēšanas noteikumus, pacients ilgu laiku varēs uzturēt pazīstamu dzīvesveidu. Terapijas un pašmedicīnas trūkums izraisa straujo slimības saasināšanos un galu galā invaliditāti.






















